NEBExpress Cell-free E. coli Protein Synthesis System
The NEBExpress Cell-free E. coli Protein Synthesis System is a coupled transcription/translation system designed to synthesize proteins encoded by a DNA template under the control of a T7 RNA Polymerase promoter. The system offers high expression levels, the ability to produce high molecular weight proteins, scalability, and is cost-effective for high throughput expression applications. The speed and robustness of the system facilitates protein synthesis in applications such as protein engineering, mutagenesis studies and enzyme screening. In addition, it can be used to generate proteins for biophysical and structure-function analyses.
- Quickly generate analytical amounts of protein for further characterization
- Synthesizes various target proteins ranging in size from 17 to 230 kDa
- Templates can be either plasmid DNA, linear DNA, or mRNA
- Minimal protease activity ensures stability of desired target protein
- Flexible reaction conditions
- Reactions can be directly loaded onto an SDS-PAGE gel without the need for acetone or TCA precipitation
The NEBExpress Cell-free E. coli Protein Synthesis System contains all the components required for protein synthesis, except for the target template DNA. It is a combination of a highly active cell extract from a genetically engineered strain, a reaction buffer, and an optimized T7 RNA Polymerase, which together yield robust expression of a wide variety of protein targets ranging from 17 to 230 KDa.
Protein synthesis is achieved with a short incubation and synthesized protein is compatible with downstream purification or analysis by SDS-PAGE, Western Blot or direct functional assay. The novel formulation of this system allows samples to be loaded directly onto SDS-PAGE, without the need for acetone or TCA precipitation. Additionally, synthesized protein can be isolated from the reaction mixture using affinity purification techniques, such as immobilized metal affinity chromatography (IMAC), for further structural and/or functional characterization.

Protein synthesis using the NEBExpress Cell-free E. coli Protein Synthesis System
50 µl reactions containing 250 ng template DNA were incubated at 37°C for 3 hours. 2 µl of each reaction were analyzed by SDS-PAGE using a 10–20% Tris-glycine gel. The red dot indicates the protein of interest. M = Unstained Protein Standard, Broad range (NEB #P7717), “Neg” = negative control, no DNA.
PURExpress In Vitro Protein Synthesis Kit: A rapid method for gene expression analysis.
A rapid method for gene expression analysis, PURExpress is a novel cell-free transcription / translation system reconstituted from the purified components necessary for E. coli translation. The nuclease-free and protease-free nature of the PURExpress platform preserves the integrity of DNA and RNA templates/complexes and results in proteins that are free of modification and degradation. Transcription and translation are carried out in a one-step reaction, and require the mixing of only two tubes. With results available in a few hours, PURExpress saves valuable laboratory time and is ideal for high throughput technologies.
PURExpress is based on the PURE system technology originally developed by Dr. Takuya Ueda at the University of Tokyo and commercialized as the PURESYSTEM® by Biocomber
(Tokyo, Japan).

- Cleaner system - lack of endogenous proteases or nucleases eliminates sample degradation
- Flexible - formulation amenable to modification
- Simple analysis - synthesized protein can often be visualized on a Coomassie stained gel
- Easy-to-use - requires the mixing of two tubes followed by the addition of template DNA, either circular or linear template
- Fast - reaction is complete in approximately two hours
- Efficient - purified components enable more control of translational and folding machinery
- Stable - resistant to multiple freeze/ thaw cycles

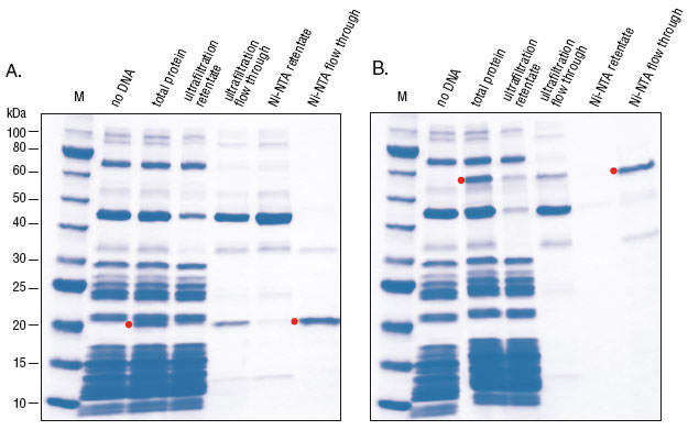
Expression and reverse purification of DHFR (A) and T4 DNA Ligase (B) using PURExpress.
125 μl reactions were carried out according to recommendations in the accompanying manual. Samples were analyzed on a 10–20% Tris-glycine gel and stained with Coomassie Blue. Note that in both cases, the desired protein can be visualized in the total protein fraction. The red dot indicates the protein of interest. Marker M: Protein Ladder #P7703
Available products
As of: 01.01.2020
Licenses: PURExpress® Disulfide Bond Enhancer (E6820) is licensed from BioComber (Tokyo, Japan) under Patent No. WO2005-105994. Commercial use of PURExpress® Disulfide Bond Enhancer requires a license from New England Biolabs, Inc. This product is intended for research purposes only. This product is not intended to be used for therapeutic or diagnostic purposes in humans or animals.
Further information can be found in our Technical Resources section or at neb.com
